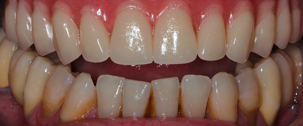
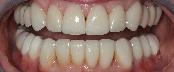
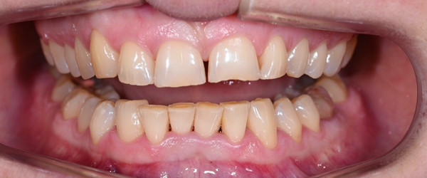
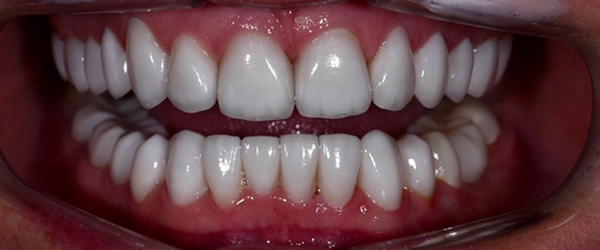
Протезирование зубов любой сложности, ортопедическая стоматология.
1997–2004 гг. — Читинская государственная медицинская академия (ЧГМА), стоматологический факультет.
2004–2006 гг. — клиническая ординатура при ЧГМА по специальности «Ортопедическая стоматология».
Повышение квалификации
2008г. А.В Ветчинкин Автор методики «Эстетические основы формообразования зубов»
Цикл практических занятий по теме «Восстановление анатомической формы зубов в ортопедических конструкциях»
2011г. Луиджи Галассо (Неаполь,италия) Орджоникидзе Гиви Зурабович (Москва,Россия)
Конференция на тему «Наука и искуство в ортопедической стоматологии»
2013г.Международный Симпозиум Квинтессенция «Эстетика и функция при протезировании зубов»
2015г. Up Dent Автор курса:Кузнецова Оксана Москва,Россия «Дентальная фотография просто о сложном»
2016г. Бабуров Александр Владимирович авторский курс с мастер классом «Реконструкция Улыбки»
2016г. Up Dent Лектор: Сазонов Алексей «Алгоритмы адгезионных процессов»
13-16 февраля 2017г. Dr.Maxim Belograd ( Kunkela Academy)
Module 1: Micro Vision Ceramics Mastering tooth preparation: veneers , crowns , on-lays
23-26 мая 2017г. Dr.Maxim Belograd ( Kunkela Academy)
Module 3: Micro Vision Esthetics Smile design and veneers from A to Z
2017 г. Блум Станислав Александрович ( лектор компаний Ormco и Kavo)
Практический курс «Гармония окклюзии : все о смыкании зубов»
2017 г. Dr.Domenico Massironi (Италия) Практический курс «Tooth preparation for veneers»
19-20 апреля 2018 г.Максим Леснухин ( Киев) Практический курс «Протоколы эстетической реабилитации: от одиночной имплантации к тотальной»
16-19 июля 2018г. Monaco Международный конгресс «Participated in aesthetic dentistry congress»
10-11 ноября 2018 г.Гаджи Дажаев ( Москва) «Планирование ортопедического лечения», «Препарирование зубов для изготовления керамических реставраций»
15-18 июля 2019 г.Milan,Italy Международный конгресс European Accreditation Council for Continuing Medical Education «Aesthetic Dentistry Congress»
19 октября 2019г. Александр Симоненко( Cerec -тренер Dentsply Sirona) CAD\CAM в повседневной практике стоматолога
2-3 ноября 2019 г.Москва Международный конгресс HI OHI-S «Indirect Restoration Congress»
14 марта 2021 г. Учебный центр «Эволюция» Автор и преподователь: Павел Кравец Теоретический курс на базе зуботехнической лаборатории «Гармония без Симметрии», «Концепция работы при полной адентии»
27 апреля 2021г. Москва Vegas City Hall «Dentistry Education Forum 2021»
17-18 ноября 2023г.Москва «Envista Summit Russia 2023»
Опыт работы:
2006–2008 гг. — ООО «Вита Стом», г. Чита.
2008–2009 гг. — ООО «Амед», «Дента Люкс», г. Чита.
2009–2011 гг. — «Мера Мед», г. Москва.
2011–2019 гг. — «Он Клиник Люкс», г. Москва.
2019–2024 гг. — «Центр Профессиональной стоматологии», г. Москва.
Область профессиональных интересов:
Восстановление формы и функции зубов.
Комплексная функциональная и эстетическая реабилитация пациентов с жалобами на разрушение , отсутствие , неудовлетворительный внешний вид зубов
Функциональная реабилитация при помощи адгезивных керамических реставраций (виниры , коронки ,накладки) Тотальное протезирование
Протезирование с опорой на дентальных имплантах одиночными и мостовидными протезами, в том числе методами ALL-on-4 / ALL-on-6, немедленная и отсроченная нагрузка.
Протезирование беззубых челюстей частичными и полными съемными протезами.
Комплексная функциональная и эстетическая реабилитация пациентов с жалобами на разрушение , отсутствие , неудовлетворительный внешний вид зубов
Функциональная реабилитация при помощи адгезивных керамических реставраций (виниры , коронки ,накладки) Тотальное протезирование
Протезирование с опорой на дентальных имплантах одиночными и мостовидными протезами, в том числе методами ALL-on-4 / ALL-on-6, немедленная и отсроченная нагрузка.
Протезирование беззубых челюстей частичными и полными съемными протезами.