Ортопедическая стоматология.
2016 г. — Московский государственный медико-стоматологический университет им. А. И. Евдокимова, специальность «Стоматология общей практики».
2019 г. — Центральная государственная медицинская академия Управления делами Президента РФ, клиническая ординатура по специальности «Стоматология ортопедическая».
Повышение квалификации:
2015 г. — «Основы работы с артикулятором и лицевой дугой», базовый курс Максима Головина.
2017 г. — конгресс «Московская стоматологическая неделя», «Актуальные вопросы в стоматологии».
2017 г. — «Прямая реставрация передних зубов. Морфология, эстетика», Dental Guru, Дмитрий Копылов.
2018 г. — «День Ankylos. Знакомство с системой. Ортопедические и хирургические аспекты», компания Стомус.
2018 г. — «Разоблачение полного съемного протезирования», Dental Guru.
2018 г. — «Все о реставрации боковых зубов», Артур Лукьяненко, IDS.
2018 г. — «Важные ортопедические моменты при планировании тотальных работ», Виталий Носов, г. Санкт-Петербург.
2019 г. — «Тотальное фиксированное протезирование на имплантатах, на мультиюнитах и на абатментах», Рами Балабановский.
2019 г. — «Введение в функциональную стоматологию. Диагностика, методика изготовления функционального сплинта», вебинар Пулата Кочкарова.
2019 г. — «Принципы препарирования и особенности фиксация цельно-керамических вкладок Inlay, overlay, Onlay с использованием операционного микроскопа», Kavo kerr, Ислам Шиков.
2020 г. — «Протезирование с опорой на зубы и имплантаты. Сегмент. Тотал», Дуга курс Петра Лазукина.
2021 г. — конгресс по осложнениям тотальной реабилитации для ортопедов и зубных техников.
2024 г. — «Подробный ортопедический протокол безметалловых конструкций», лектор Артем Олексик.
2023 г. — «Функциональная диагностика. Основа современного планирования ортопедического лечения». Абросимов Алексей.
2024 г. — «Подробный ортопедический протокол безметалловых конструкций». Артем Олексик.
2024 г. — Участие в демонстрационном курсе по концепции All on 4. Никита Карасёв. Санкт-Петербург.
2013 г. — Практические нюансы каждодневной эндодонтии. Аэлита.
2014 г. — Протоколы Франкфуртского университета по протезированию на имплантатах: объединяя новейшие технологии и многолетний опыт работы. STOMUS.
2014 г. — Идеальная улыбка. Изготовление виниров: виниры без препарирования и традиционные виниры. ДУИЦ.
2014 г. — Смежные области в эндодонтии. Аэлита.
2014 г. — Сложные клинические случаи в эндодонтии — простые пути решения. Densply.
2014 г. — Аспекты реставраций фронтальных и жевательных групп зубов. Densply.
2015 г. — Эндодонтические аспекты в ортопедии: что обязан знать ортопед и уметь делать эндодонтист. Профессионал.
2015 г. — Клинические протоколы в случаях переломов и вывихов зубов: причины распространенных ошибок и способы их предотвращения. Профессионал.
2016 г. — Update in Endodontics. Профессионал.
2017 г. — «Виниры с препарированием и без. Особенности и нюансы (продвинутый курс)».
2017 г. — «Revie of Contemporary methods of canal shaping and obturation». Михаил Соломонов. Профессионал.
2018 г. — «Цельнокерамические реставрации. От выбора материала до фиксации». Ивокляр.
2018 г. — «Особенности работы с системой имплантации ANKYLOS DENTSPLY SIRONA». Стомус.
2018 г. — участие в VII Международном симпозиуме по имплантологии «Командный подход». Stomus.
2018 г. — «Факторы выбора ортопедических конструкций». Гамид Насуев. Квинтэссенция.
2018 г. — «Functional Dentistry congress» (Канны). HI OHI-S.
2018 г. — Принципы работы с имплантационной системой Straumann. Курс для ортопедов. Sraumann.
2018 г. — «Планирование ортопедического лечения». Гаджи Дажаев. Учебный центр Dazhaev.
2018 г. — «Препарирование зубов для изготовления керамических реставраций». Гаджи Дажаев. Учебный центр Dazhaev.
2019 г. — Международный симпозиум по эстетической стоматологии. Квинтэссенция.
2019 г. — FUNCTIONAL DENTEDTRY CONGRESS (Прага). HI OHI-S.
2019 г. — INDERECT RESTORATION CONGRESS (Москва). HI OHI-S.
2019 г. — Природа улыбки. 3M ESPE.
2019 г. — XIVE DAY для ортопедов. День открытых дверей. Симко.
2019 г. — «Композитная и керамическая эстетика» Минск. HI OHI-S.
2019 г. — «ВСЕ О ДЫХАТЕЛЬНЫХ ПУТЯХ И ОККЛЮЗИИ». Станислав Блум (Минск). HI OHI-S.
2019 г. — «Functional Dentistry congress» (Москва). HI OHI-S.
2019 г. — «Цифровая окклюзия и сплинт-терапия». Кочкаров Пулат. HI OHI-S.
2019 г. — «INDERECT REDTORATION CONGRESS» (Амстердам). HI OHI-S.
2019 г. — «AESTHETIC DENTRISTRY CONGRESS» (Милан). HI OHI-S.
2019 г. — «Протезирование с опорой на имплантаты. Принципы построения протетики, особенности окклюзии». Александр Будовский. Amann Girrbach AG.
2019 г. — «Композитный протокол». Станислав Блум. HI OHI-S.
2019 г. — «Изготовление ортопедических конструкций с определением индивидуальных динамических параметров при полной адентии». Сергей Гётте. Amann Girrbach AG.
2020 г. — «THE CONCEPT OF MODERN RESTORATION: OCCLUSION, PERSONALIZED DESIGN, MINIMAL INVASION, PINK AESTHETICS». Galip Gurel. HI OHI-S.
2020 г. — конференция «Стабилизация костного уровня в области имплантатов. Материалы и методы длительного сохранения уровня костного гребня в области имплантатов». Квинтэссенция.
2021 г. — Конгресс гнатологии. HI OHI-S.
2021 г. — Конгресс ортопедии. HI OHI-S.
2021 г. — Лечение в концепции Славичека. HI OHI-S.
2021 г. — «Функциональный анализ зубочелюстной системы. Часть I. Окклюзия и патология окклюзии. Клиническая функциональная диагностика». Михаил Антоник.
2021 г. — «Функциональная диагностика. Основа современного планирования ортопедического лечения». Абросимов Алексей.
Опыт работы:
2016–2018 гг. — стоматология Дента Спа.
2018–2019 гг. — Немецкий имплантологический центр.
2019 г. — Центр стоматологии.
Область профессиональных интересов:
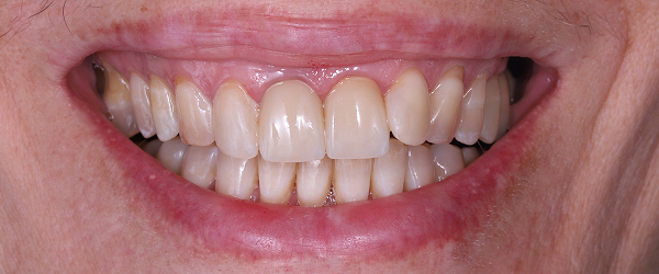
Комплексная функциональная и эстетическая реабилитация пациентов с жалобами на разрушение, отсутствие, неудовлетворительный внешний вид зубов.
Функциональная реабилитация пациентов с применением минимальноинвазивных техник восстановления зубов.
Адгезивные керамические реставрации (виниры, накладки, коронки).
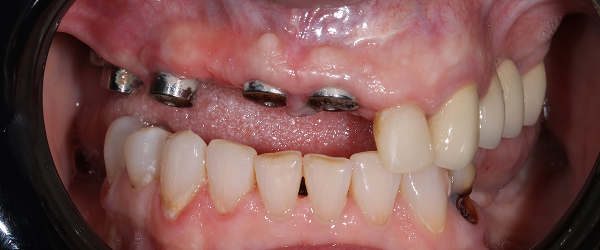
Протезирование с опорой на дентальных имплантатах одиночными и мостовидными протезами, в том числе методами All-on-4/All-0n-6, немедленная и отсроченная нагрузка.
Применение оптического увеличения во время препарирования зубов, цифровых методов планирования и реализации лечения с помощью CAD/CAM-технологий.
Протезирование беззубой челюсти полными съемными протезами.